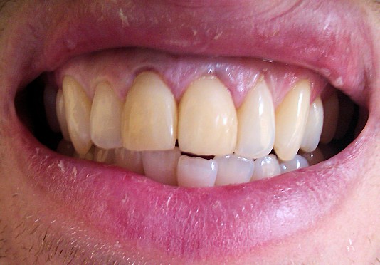
Zirconia Crowns
Zirconia
A popular type of all-ceramic crown which is worn to improve appearance of a tooth which has become stained or disfigured over the years. It’s a very strong material which is compatible with the human body therefore there is no fear of the human body rejecting it.
Zirconia is a type of crystal which is long lasting and indestructible. Zirconia has good strength which means it will last longer than other types of crowns. It displays excellent aesthetics and so is ideal at covering signs of damage and staining.
These crowns have an attractive translucent colour which blends in well with the other teeth and creates a natural appearance, whilst still maintaining the function of the tooth. In addition minimal preparation is required, which means more of the original tooth is preserved. So, a good choice if you are looking for a strong, long lasting visually appealing crown.
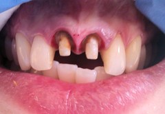
How is a Zirconia crown fitted?
Your teeth will be assessed by the dentist who will discuss the procedure. The tooth will then be prepared and an impression of the prepared teeth will be taken. The impression is then sent to the technician where the crowns will be fabricated.
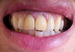
When the crown is ready, the dentist will check the crowns appearance and shade before cementing it into position.





